Difference between revisions of "Chromogranin A"
Jump to navigation
Jump to search
(+infobox) |
|||
Line 1: | Line 1: | ||
{{ Infobox immunostain | |||
| Name = {{PAGENAME}} | |||
| Image = Paraganglioma - chromo - intermed mag.jpg | |||
| Width = | |||
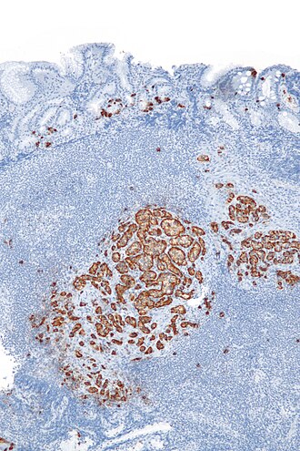
| Caption = Chromogranin A immunostain in a [[paraganglioma]]. | |||
| Abbrev = | |||
| Synonyms = | |||
| Similar = [[CD56]], [[synaptophysin]] | |||
| Clones = | |||
| Use = | |||
| Subspecial = | |||
| Pattern = | |||
| Positive = | |||
| Negative = | |||
| Other = | |||
}} | |||
'''Chromogranin A''' is a common [[immunostain]], and a [[specificity|specific]] [[Neuroendocrine markers|neuroendocinre marker]].<ref name=pmid20182342>{{Cite journal | last1 = McCluggage | first1 = WG. | last2 = Kennedy | first2 = K. | last3 = Busam | first3 = KJ. | title = An immunohistochemical study of cervical neuroendocrine carcinomas: Neoplasms that are commonly TTF1 positive and which may express CK20 and P63. | journal = Am J Surg Pathol | volume = 34 | issue = 4 | pages = 525-32 | month = Apr | year = 2010 | doi = 10.1097/PAS.0b013e3181d1d457 | PMID = 20182342 }}</ref> | '''Chromogranin A''' is a common [[immunostain]], and a [[specificity|specific]] [[Neuroendocrine markers|neuroendocinre marker]].<ref name=pmid20182342>{{Cite journal | last1 = McCluggage | first1 = WG. | last2 = Kennedy | first2 = K. | last3 = Busam | first3 = KJ. | title = An immunohistochemical study of cervical neuroendocrine carcinomas: Neoplasms that are commonly TTF1 positive and which may express CK20 and P63. | journal = Am J Surg Pathol | volume = 34 | issue = 4 | pages = 525-32 | month = Apr | year = 2010 | doi = 10.1097/PAS.0b013e3181d1d457 | PMID = 20182342 }}</ref> | ||
Latest revision as of 00:56, 3 June 2019
Chromogranin A | |
---|---|
Immunostain in short | |
![]() Chromogranin A immunostain in a paraganglioma. | |
Similar stains | CD56, synaptophysin |
Chromogranin A is a common immunostain, and a specific neuroendocinre marker.[1]
See also
References
- ↑ McCluggage, WG.; Kennedy, K.; Busam, KJ. (Apr 2010). "An immunohistochemical study of cervical neuroendocrine carcinomas: Neoplasms that are commonly TTF1 positive and which may express CK20 and P63.". Am J Surg Pathol 34 (4): 525-32. doi:10.1097/PAS.0b013e3181d1d457. PMID 20182342.