Difference between revisions of "Serous cystadenoma of the pancreas"
(→Images) |
|||
| (6 intermediate revisions by 2 users not shown) | |||
| Line 1: | Line 1: | ||
{{ Infobox diagnosis | |||
| Name = {{PAGENAME}} | |||
| Image = Pancreatic_serous_cystadenoma_-_intermed_mag.jpg | |||
| Width = | |||
| Caption = Pancreatic serous cystadenoma. [[H&E stain]]. | |||
| Synonyms = serous microcystic adenoma | |||
| Micro = small cystic spaces lined by cytologically bland cuboidal cells | |||
| Subtypes = | |||
| LMDDx = cystic [[renal cell carcinoma]], [[lymphangioma]], [[hemangioma]] | |||
| Stains = PAS +ve, PASD -ve | |||
| IHC = | |||
| EM = | |||
| Molecular = | |||
| IF = | |||
| Gross = lobulated appearance, no cysts apparent | |||
| Grossing = | |||
| Site = [[pancreas]] - body and tail | |||
| Assdx = | |||
| Syndromes = [[von Hippel-Lindau disease]] | |||
| Clinicalhx = | |||
| Signs = | |||
| Symptoms = | |||
| Prevalence = uncommon | |||
| Bloodwork = | |||
| Rads = honey comb-like appearance, Well-demarcated border - may be described as a "coin lesion" | |||
| Endoscopy = | |||
| Prognosis = benign | |||
| Other = | |||
| ClinDDx = | |||
| Tx = | |||
}} | |||
'''Serous cystadenoma of the pancreas''' is a benign cystic lesion of the [[pancreas]]. | '''Serous cystadenoma of the pancreas''' is a benign cystic lesion of the [[pancreas]]. | ||
| Line 54: | Line 85: | ||
Image:Pancreatic_serous_cystadenoma_-_very_high_mag.jpg | PSC - very high mag. (WC) | Image:Pancreatic_serous_cystadenoma_-_very_high_mag.jpg | PSC - very high mag. (WC) | ||
</gallery> | </gallery> | ||
<gallery> | |||
Image: Pancreatic serous cystadenoma (1).jpg |PSC. (WC/KGH) | |||
Image: Pancreatic serous cystadenoma (2).jpg |PSC. (WC/KGH) | |||
</gallery> | |||
[[File:4 691589031 sl 1.png|1200px| Microcystic serous cystadenoma of pancreas]] | |||
[[File:4 691589031 sl 2.png|1200px| Microcystic serous cystadenoma of pancreas]] | |||
[[File:4 691589031 sl 3.png|1200px| Microcystic serous cystadenoma of pancreas]] | |||
[[File:4 691589031 sl 4.png|1200px| Microcystic serous cystadenoma of pancreas]] | |||
[[File:4 691589031 sl 5.png|1200px| Microcystic serous cystadenoma of pancreas]] | |||
[[File:4 691589031 sl 6.png|1200px| Microcystic serous cystadenoma of pancreas]] | |||
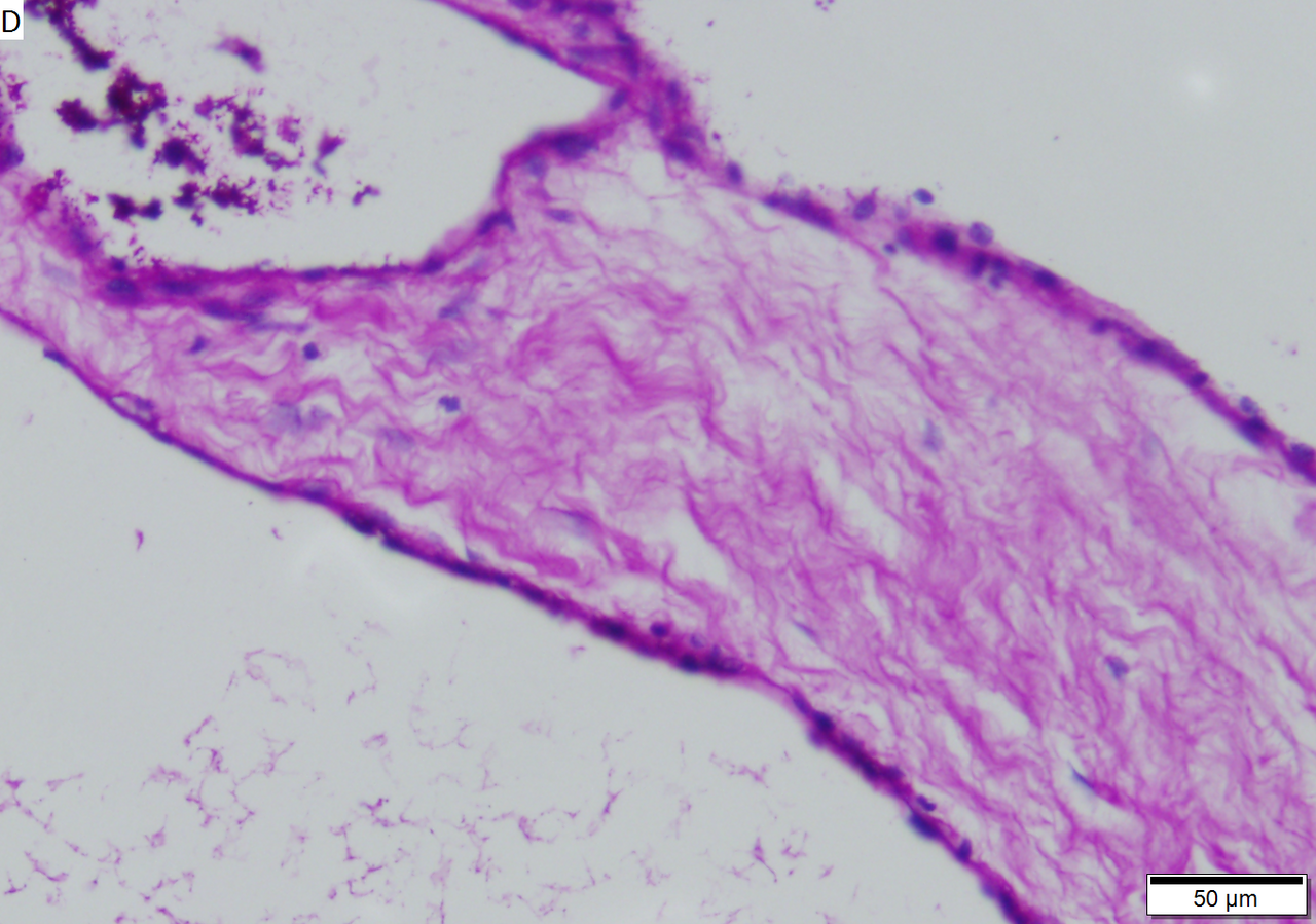
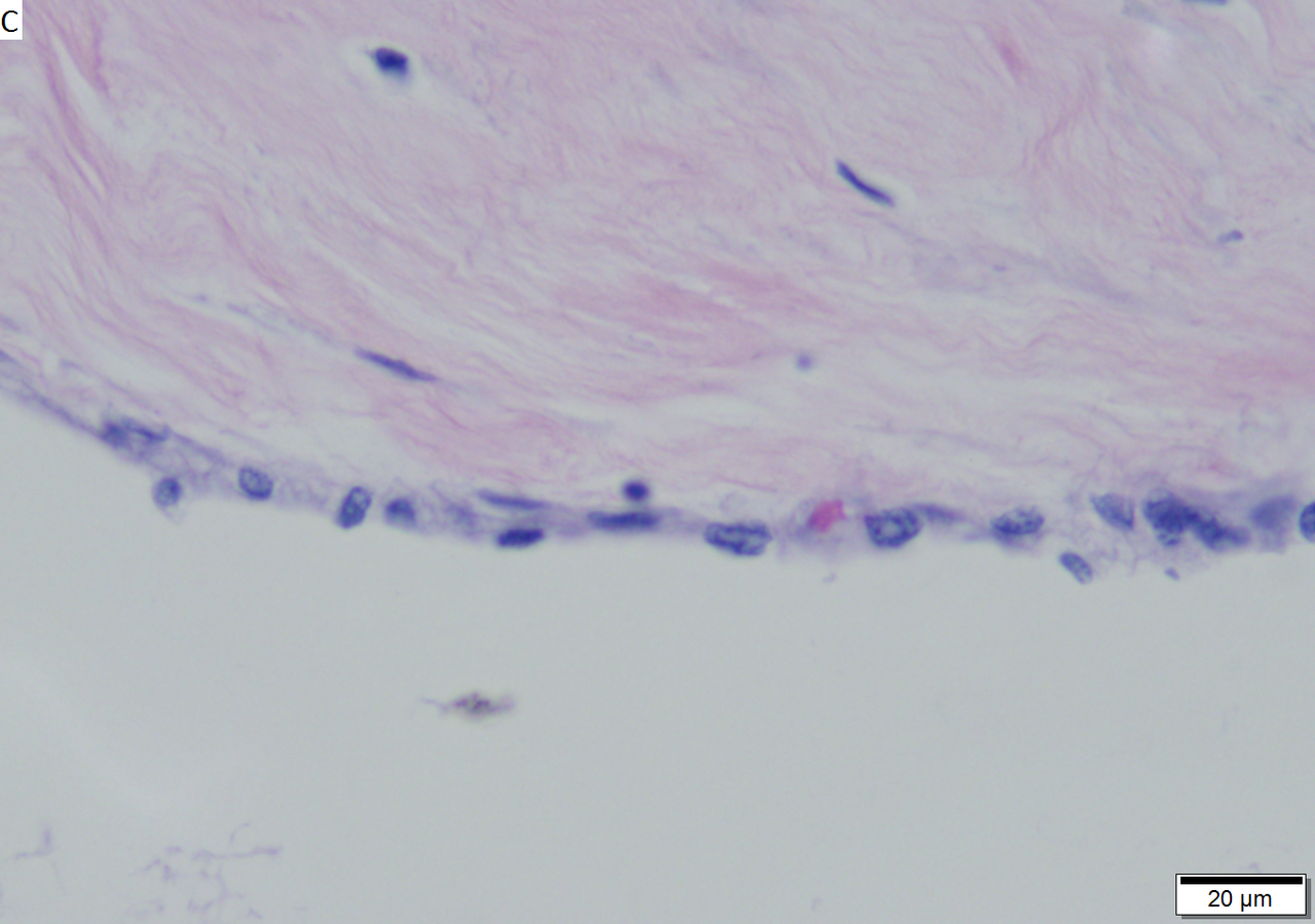
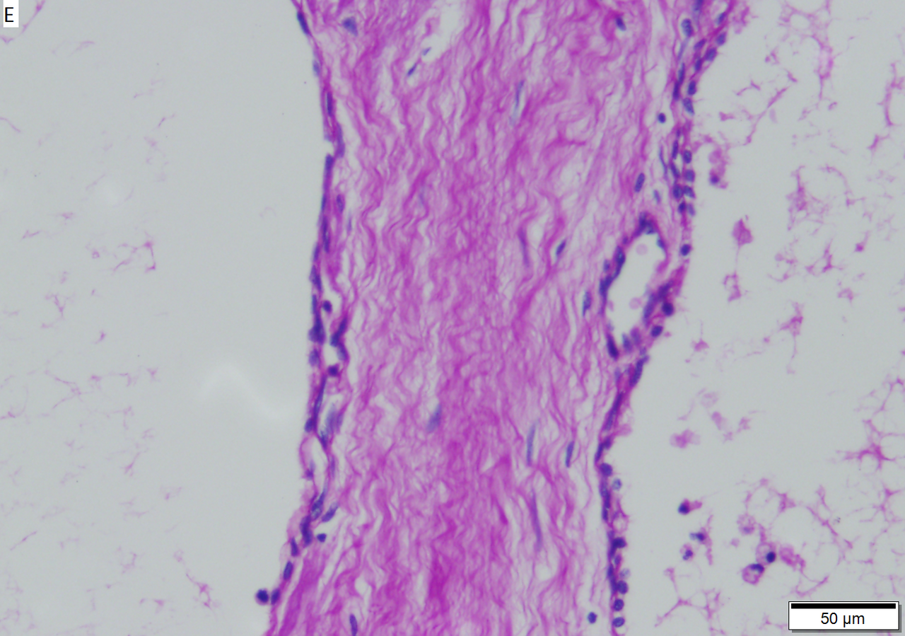
<br>Microcystic serous cystadenoma of pancreas in a 62 year old woman. A. The tumor showed a central scar with multiple minute cysts; slight pressure yielded clear fluid. B. The mass comprises microcysts numberless. C. Cysts bear single cell linings with bland, amitotic nuclei. D. PAS without diastase shows positive cytoplasmic material. E. PAS with diastase shows the cytoplasmic material has been digested away. F. Keratin shows positive staining lining cells. | |||
==Stains== | ==Stains== | ||
Latest revision as of 23:01, 13 February 2017
| Serous cystadenoma of the pancreas | |
|---|---|
| Diagnosis in short | |
|
Pancreatic serous cystadenoma. H&E stain. | |
|
| |
| Synonyms | serous microcystic adenoma |
|
| |
| LM | small cystic spaces lined by cytologically bland cuboidal cells |
| LM DDx | cystic renal cell carcinoma, lymphangioma, hemangioma |
| Stains | PAS +ve, PASD -ve |
| Gross | lobulated appearance, no cysts apparent |
| Site | pancreas - body and tail |
|
| |
| Syndromes | von Hippel-Lindau disease |
|
| |
| Prevalence | uncommon |
| Radiology | honey comb-like appearance, Well-demarcated border - may be described as a "coin lesion" |
| Prognosis | benign |
Serous cystadenoma of the pancreas is a benign cystic lesion of the pancreas.
It is also known as serous microcystic adenoma,[1] and pancreatic serous cystadenoma.
It is unrelated to the ovarian serous cystadenoma.
General
- 1-2% of all exocrine pancreatic tumours.
- Female > male.
- Mean age 66 years.
- Truly benign with no malignant potenial.
- May be part of von Hippel-Lindau syndrome.
Management:
- Observe or resect.
Gross
Features:
- Classically has a characteristic central scar.[2]
- Bosulated surface.
- Lobulated.
- No (macroscopic) cysts apparent on gross.
- Location: 50-70% occur in the body and tail.
- Size: average size 11 cm.
Radiologic appearance:
- Honey comb-like appearance.
- Well demarcated border - may be described as a "coin lesion".
Image:
Microscopic
Features:
- Cystic spaces lined by cuboidal cells.
- Glycogen rich.
- Cilia. (???)
DDx:
- Renal cell carcinoma.
- Lymphangioma.
- Hemangioma.
- Oligocystic mucinous cystic tumors and pseudocysts.
- Have mucin; PAS-D could be used to demonstrate its presence.
Notes:
- Serous adenoma may coexist with aggressive tumours.
Images
Microcystic serous cystadenoma of pancreas in a 62 year old woman. A. The tumor showed a central scar with multiple minute cysts; slight pressure yielded clear fluid. B. The mass comprises microcysts numberless. C. Cysts bear single cell linings with bland, amitotic nuclei. D. PAS without diastase shows positive cytoplasmic material. E. PAS with diastase shows the cytoplasmic material has been digested away. F. Keratin shows positive staining lining cells.
Stains
- PAS +ve.
- PASD -ve.
See also
References
- ↑ Mills, Stacey E; Carter, Darryl; Greenson, Joel K; Oberman, Harold A; Reuter, Victor E (2004). Sternberg's Diagnostic Surgical Pathology (4th ed.). Lippincott Williams & Wilkins. pp. 1630. ISBN 978-0781740517.
- ↑ Kim YH, Saini S, Sahani D, Hahn PF, Mueller PR, Auh YH (2005). "Imaging diagnosis of cystic pancreatic lesions: pseudocyst versus nonpseudocyst". Radiographics 25 (3): 671–85. doi:10.1148/rg.253045104. PMID 15888617. http://radiographics.rsna.org/content/25/3/671.abstract.
- ↑ Vernadakis, S.; Kaiser, GM.; Christodoulou, E.; Mathe, Z.; Troullinakis, M.; Bankfalvi, A.; Paul, A. (2009). "Enormous serous microcystic adenoma of the pancreas.". JOP 10 (3): 332-4. PMID 19454830.