Difference between revisions of "Lymphocytic interstitial pneumonia"
Jump to navigation
Jump to search
(+images) |
|||
| Line 7: | Line 7: | ||
| Micro = small mature lymphocytes in the interstitium of the lung, plasma cells, +/-lymphoid follicles | | Micro = small mature lymphocytes in the interstitium of the lung, plasma cells, +/-lymphoid follicles | ||
| Subtypes = | | Subtypes = | ||
| LMDDx = [[lymphoma]], [[follicular bronchitis/bronchiolitis]], [[pulmonary nodular lymphoid hyperplasia|nodular lymphoid hyperplasia]] | | LMDDx = [[lymphoma]] - see ''[[lymphoma of lung]]'', [[follicular bronchitis/bronchiolitis]], [[pulmonary nodular lymphoid hyperplasia|nodular lymphoid hyperplasia]] | ||
| Stains = | | Stains = | ||
| IHC = | | IHC = | ||
Latest revision as of 13:30, 10 May 2016
| Lymphocytic interstitial pneumonia | |
|---|---|
| Diagnosis in short | |
|
Template:Px Lymphocytic interstitial pneumonia. H&E stain. | |
|
| |
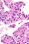
| LM | small mature lymphocytes in the interstitium of the lung, plasma cells, +/-lymphoid follicles |
| LM DDx | lymphoma - see lymphoma of lung, follicular bronchitis/bronchiolitis, nodular lymphoid hyperplasia |
| Site | lung - see diffuse lung diseases |
|
| |
| Associated Dx | autoimmune disorders (rheumatoid arthritis, pernicious anemia, Sjoegren syndrome), viral infections (HIV, EBV, human T-cell leukemia virus (HTLV) type 1) |
| Clinical history | dependent on underlying cause - see associated diagnoses |
| Prevalence | rare |
| Radiology | basilar predominance, increased interstitial markings |
Lymphocytic interstitial pneumonia (abbreviated LIP), also known as lymphoid interstitial pneumonia and lymphocytic interstitial pneumonitis, is an uncommon diffuse lung disease.
General
- Associated with autoimmune disorders (rheumatoid arthritis, pernicious anemia, Sjoegren syndrome)[1] and immunodeficiency.[2]
- Associated with viral infections (HIV, EBV, human T-cell leukemia virus (HTLV) type 1).
- Considered an AIDS-defining diagnosis.[3]
Gross
- Location: basilar predominance.
- Increased interstitial markings.
Microscopic
Features:[4]
- Small mature lymphocytes (usually B cells)[5] in the interstitium of the lung.
- Plasma cells.
- +/-Lymphoid follicles.
Negatives:
- No vasculitis.
- No necrosis.
DDx:
- Lymphoma.
- Follicular bronchitis/bronchiolitis.
- Nodular lymphoid hyperplasia.
- This is determined in part by radiology; it has nodules radiographically.
- Non-specific interstitial pneumonia - less inflammation.
Images
Case
- Lymphocytic interstitial pneumonia -- extremely low mag.jpg
LIP - ext. low mag. (WC/Nephron)
- Lymphocytic interstitial pneumonia -- very low mag.jpg
LIP - very low mag. (WC/Nephron)
LIP - low mag. (WC/Nephron)
- Lymphocytic interstitial pneumonia -- very high mag.jpg
LIP - very high mag. (WC/Nephron)
- Lymphocytic interstitial pneumonia and normal -- very low mag.jpg
LIP & normal - very low mag. (WC/Nephron)
LIP & normal - low mag. (WC/Nephron)
- Lymphocytic interstitial pneumonia and normal - alt -- low mag.jpg
LIP & normal - low mag. (WC/Nephron)
- Lymphocytic interstitial pneumonia and normal -- high mag.jpg
LIP & normal - high mag. (WC/Nephron)
www
Stains
To exclude infection:[6]
- GMS stain -ve.
- Ziehl-Neelsen stain -ve.
IHC
- May be done to exclude lymphoma.
See also
References
- ↑ URL: http://emedicine.medscape.com/article/299643-overview. Accessed on: 2 June 2010.
- ↑ Nicholson AG (August 2001). "Lymphocytic interstitial pneumonia and other lymphoproliferative disorders in the lung". Semin Respir Crit Care Med 22 (4): 409–22. doi:10.1055/s-2001-17384. PMID 16088689.
- ↑ Turner, BJ.; Eppes, S.; McKee, LJ.; Cosler, L.; Markson, LE. (Jan 1995). "A population-based comparison of the clinical course of children and adults with AIDS.". AIDS 9 (1): 65-72. PMID 7893443.
- ↑ URL: http://emedicine.medscape.com/article/299643-diagnosis. Accessed on: 2 June 2010.
- ↑ AFIP atlas of nontumour pathology. 2002. Vo. 2. P.265. ISBN 1-881041-79-4.
- ↑ URL: http://path.upmc.edu/cases/case176/dx.html. Accessed on: 8 January 2012.